팝업레이어 알림

팝업레이어 알림이 없습니다.

대연숲치과 위치 및 진료시간

부산 대연역 5번 출구 | 월·화·수·금 : 오전 9:00 ~ 오후 6시 | 토요일 : 오전 9:00 ~ 오후 3시 | 점심시간 1시 ~ 2시 에도 진료

대연숲치과 소개

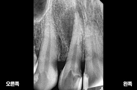
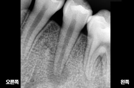
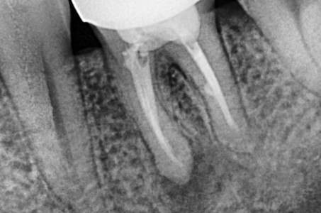
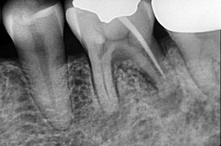
대연숲치과는 치과보존과 전문의가 미세현미경을 활용한 정밀 신경치료, 치아손상치료, 임플란트, 충치신경치료를 중점으로 진료하며, 점심시간(1시~2시)에도 가능합니다.

대연숲치과 진료서비스

숲처럼 건강한 치아,
당신의 미소를 지킵니다.

매일 환자를 위해 최선을 다하며,
더 나은 치료와 깊은 공감으로 환자들의 건강한 미소를 지켜나가겠습니다.

환자의 마음까지 보듬는
대연숲치과 입니다.

매일 환자를 위해 최선을 다하며,
더 나은 치료와 깊은 공감으로 환자들의 건강한 미소를 지켜나가겠습니다.

비슷한 사례찾기

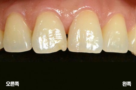
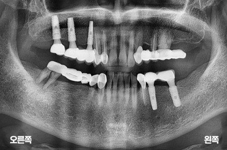
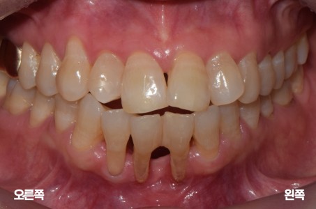
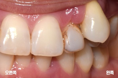
대연숲치과의 치료사례

  • 전체

  • 전치부심미치료

  • 임플란트

  • 충치치료

  • 라미네이트

  • 신경치료

  • 틀니

Daeyeonsoop dental clinic

대연숲치과의 대표 원장은
치과보존과 전문의입니다.





그 어떤 인공 보철물도 자연치아보다 좋은 것은 없습니다.

치과보존학이란 우리 몸의 하나인 자연치아를 뽑지 않고
보존/유지하는 것을 최우선으로 고려하고,
최선의 치료방법을 통해 치아를 기능적, 심미적으로 회복시켜
평생 동안의 구강건강을 도모하는 학문입니다.

치과보존과 전문의란?
치과병원에서 1년의 인턴 과정을 거치고, 각 대학 소속 치과병원의
치과보존학 교실에서 3년의 전문의 과정을 수련하고,
치과보존과 전문의 시험을 통과한 사람을 치과보존과 전문의라고 합니다.

구혜진 대표원장
전화상담 네이버 예약 네이버 톡톡 블로그 인스타그램