라미네이트 라미네이트
페이지 정보

작성자 대연숲치과
조회 310회 작성일 25-06-30 15:04
조회 310회 작성일 25-06-30 15:04
본문
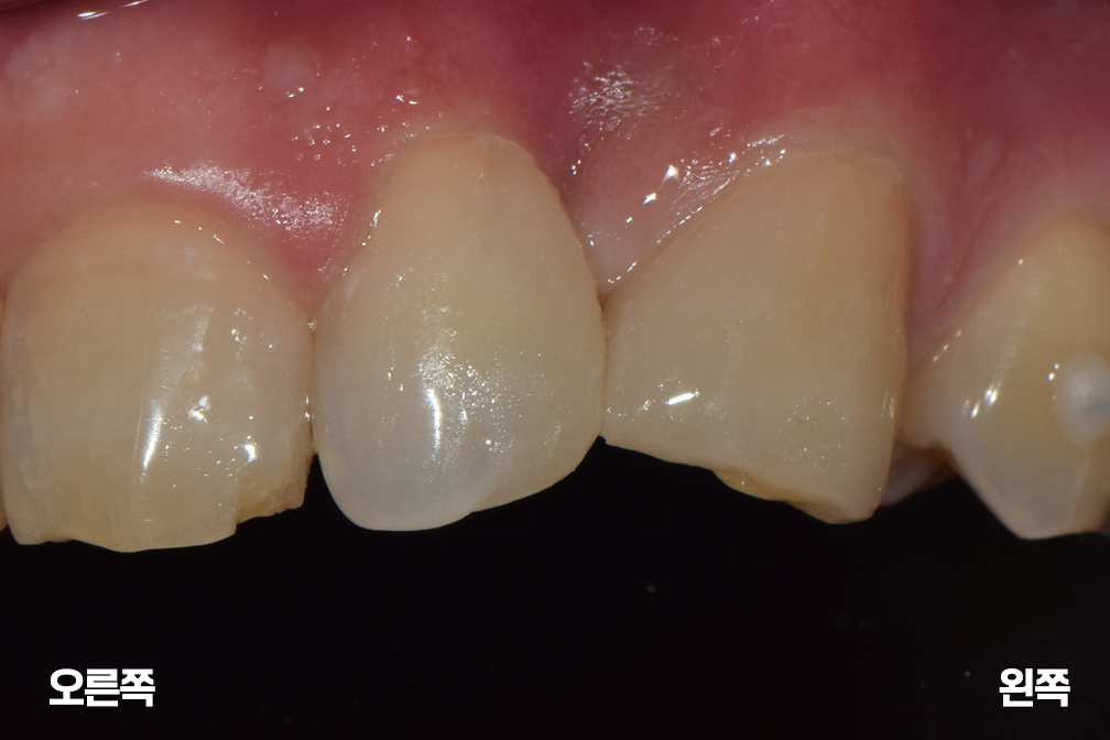
라미네이트
Before 2025년 3월 29일
After 2025년 4월 12일
위 전후사진은 이미지사진으로 실제 눈으로 보는 것과는 다를 수 있으며, 환자의 치아상태과 방법에 따라 치료결과가 다를수 있습니다.
사진의 날짜는 촬영날짜이며 치료의 기간이 아님을 알려드립니다.
치료 후 치아표면의 탈회 , 충치, 치근흡수 등의 부작용이 있을 수 있습니다.
- 이전글미성숙 영구치 근관치료 25.06.30
- 다음글왼쪽 윗치아 깨짐 25.06.30