전치부심미치료 왼쪽 윗치아 깨짐
페이지 정보

작성자 대연숲치과
조회 245회 작성일 25-06-30 14:54
조회 245회 작성일 25-06-30 14:54
본문
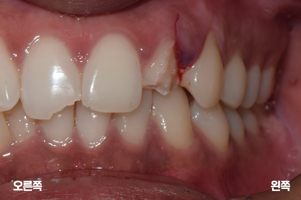
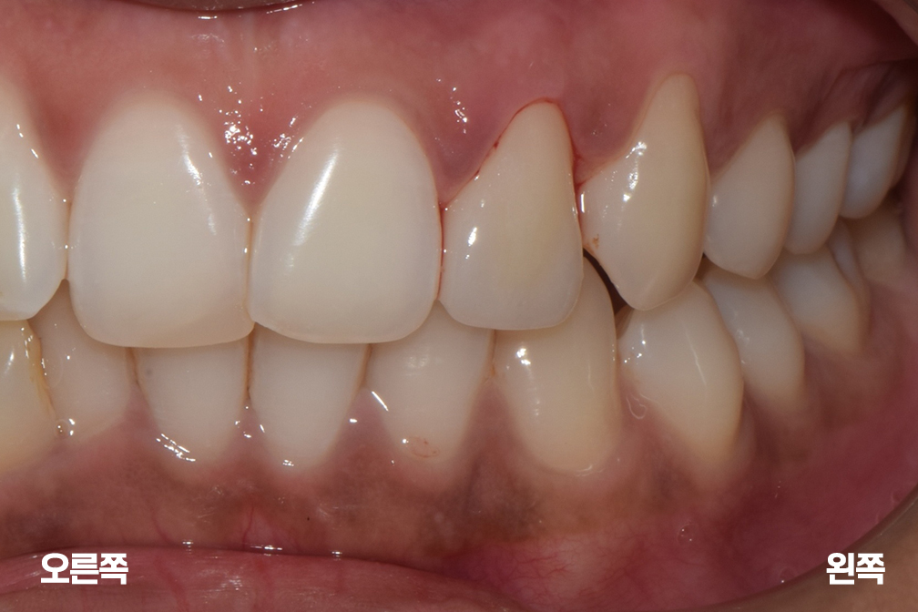
깨진 치아 크라운 치료
Before 2025년 6월 10일
After 2025년 6월 20일
위 전후사진은 이미지사진으로 실제 눈으로 보는 것과는 다를 수 있으며, 환자의 치아상태과 방법에 따라 치료결과가 다를수 있습니다.
사진의 날짜는 촬영날짜이며 치료의 기간이 아님을 알려드립니다.
치료 후 치아표면의 탈회 , 충치, 치근흡수 등의 부작용이 있을 수 있습니다.
- 이전글라미네이트 25.06.30
- 다음글오른쪽 앞쪽 윗니 깨짐 25.06.30