임플란트 오른쪽 아래 기존 보철물 제거 후 브릿지 + 어금니 임플란트 수술
페이지 정보

작성자 대연숲치과
조회 3회 작성일 26-04-12 22:27
조회 3회 작성일 26-04-12 22:27
본문
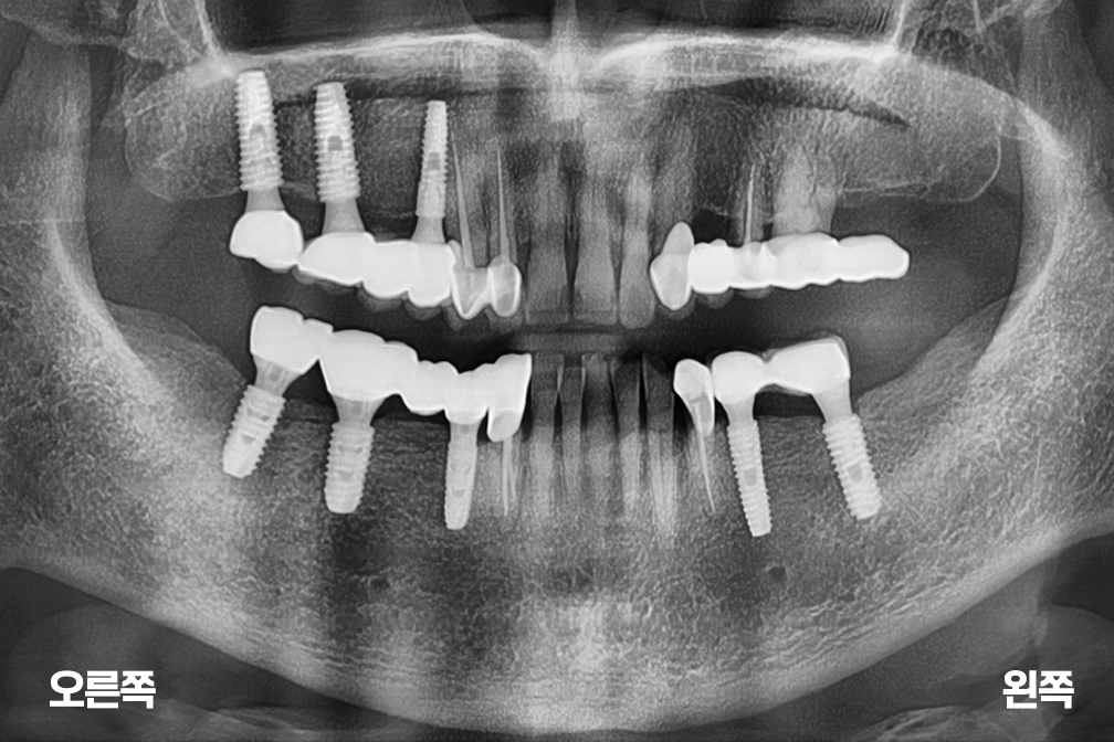
어금니 임플란트
Before 2025년 5월 30일
After 2026년 3월 24일-
위 전후사진은 이미지사진으로 실제 눈으로 보는 것과는 다를 수 있으며, 환자의 치아상태과 방법에 따라 치료결과가 다를수 있습니다.
사진의 날짜는 촬영날짜이며 치료의 기간이 아님을 알려드립니다.
치료 후 치아표면의 탈회 , 충치, 치근흡수 등의 부작용이 있을 수 있습니다.
- 이전글오른쪽 위 앞니 임플란트 + 아래 양쪽 임플란트 수술 26.04.12
- 다음글어금니 신경치료 26.04.12