틀니 위 아래 부분틀니
페이지 정보

작성자 대연숲치과
조회 5회 작성일 26-02-24 10:25
조회 5회 작성일 26-02-24 10:25
본문
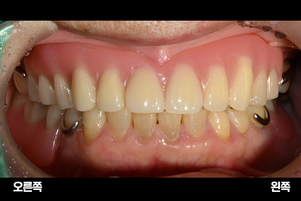
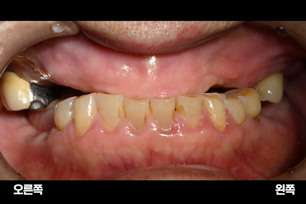
부분 틀니
Before 2026년 1월 12일
After 2026년 2월 21일
위 전후사진은 이미지사진으로 실제 눈으로 보는 것과는 다를 수 있으며, 환자의 치아상태과 방법에 따라 치료결과가 다를수 있습니다.
사진의 날짜는 촬영날짜이며 치료의 기간이 아님을 알려드립니다.
치료 후 치아표면의 탈회 , 충치, 치근흡수 등의 부작용이 있을 수 있습니다.
- 다음글오른쪽 윗 앞니 레진 당일 치료 26.01.27