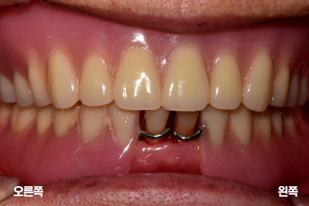
틀니 아래 앞니 치아 두개 살려서 틀니 치료
페이지 정보

작성자 대연숲치과
조회 276회 작성일 25-08-19 12:46
조회 276회 작성일 25-08-19 12:46
본문
틀니
Before 2025년 7월 8일
After 2025년 8월 4일
위 전후사진은 이미지사진으로 실제 눈으로 보는 것과는 다를 수 있으며, 환자의 치아상태과 방법에 따라 치료결과가 다를수 있습니다.
사진의 날짜는 촬영날짜이며 치료의 기간이 아님을 알려드립니다.
치료 후 치아표면의 탈회 , 충치, 치근흡수 등의 부작용이 있을 수 있습니다.
- 이전글윗 앞니 깨진 치아 레진 당일 치료 25.09.12
- 다음글아랫 쪽 앞니 임플란트 수술 25.08.18