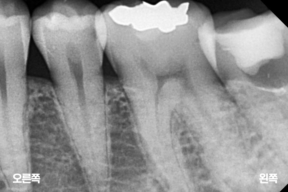
충치치료 왼쪽 아래 작은어금니(소구치) 충치치료
페이지 정보

작성자 대연숲치과
조회 307회 작성일 25-07-15 17:14
조회 307회 작성일 25-07-15 17:14
본문
인레이
Before 2025년 6월 14일
After 2025년 7월 15일
위 전후사진은 이미지사진으로 실제 눈으로 보는 것과는 다를 수 있으며, 환자의 치아상태과 방법에 따라 치료결과가 다를수 있습니다.
사진의 날짜는 촬영날짜이며 치료의 기간이 아님을 알려드립니다.
치료 후 치아표면의 탈회 , 충치, 치근흡수 등의 부작용이 있을 수 있습니다.
- 이전글앞 윗니 치아 파절 레진 당일치료 25.07.26
- 다음글미성숙 영구치 근관치료 25.06.30