전치부심미치료 전치부심미치료
페이지 정보

작성자 대연숲치과
조회 261회 작성일 25-03-13 22:02
조회 261회 작성일 25-03-13 22:02
본문
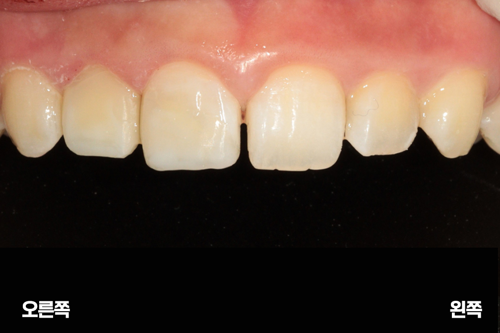
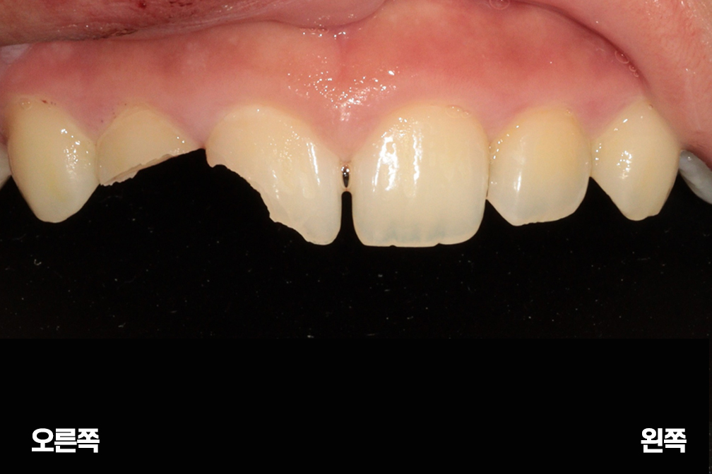
치료명
Before 2025-03-13
After 2025-03-15
위 전후사진은 이미지사진으로 실제 눈으로 보는 것과는 다를 수 있으며, 환자의 치아상태과 방법에 따라 치료결과가 다를수 있습니다.
사진의 날짜는 촬영날짜이며 치료의 기간이 아님을 알려드립니다.
치료 후 치아표면의 탈회 , 충치, 치근흡수 등의 부작용이 있을 수 있습니다.
- 이전글오른쪽 앞쪽 윗니 깨짐 25.06.30