신경치료 미성숙 영구치 근관치료
페이지 정보

작성자 대연숲치과
조회 263회 작성일 25-06-30 17:56
조회 263회 작성일 25-06-30 17:56
본문
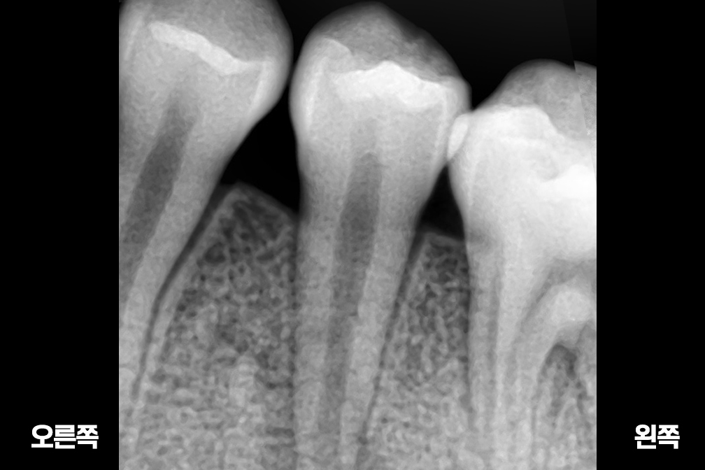
근관치료
Before 2025년 6월 25일
After 2025년 6월 25일
위 전후사진은 이미지사진으로 실제 눈으로 보는 것과는 다를 수 있으며, 환자의 치아상태과 방법에 따라 치료결과가 다를수 있습니다.
사진의 날짜는 촬영날짜이며 치료의 기간이 아님을 알려드립니다.
치료 후 치아표면의 탈회 , 충치, 치근흡수 등의 부작용이 있을 수 있습니다.
- 이전글왼쪽 아래 어금니 재신경치료 25.12.26